Jenna Luché Thayer, direktorica AD- HOC komiteja za lajmsko boreliozo pri WHO, 2018 https://www.globallymealliance.org/news/ground-breaking-recognition-lyme-borreliosis-11th-international-classification-diseases, 05.09.2018 Op. Prevod in povzetek sta strojno prevedena in sta informativne narave. Povzetek: od leta 2022 so zavezujoče nove medicinske kode 11. mednarodne klasifikacije bolezni ICD-11, ki razširjajo zaplete lajmske borelioze iz 3 komplikacij na 15 komplikacij. Direktorica AD- …
Članek
Prelomne raziskave na ADLM 2025: Umetna inteligenca bo korenito spremenila testiranje in zdravljenje lajmske borelioze
https://myadlm.org/media/press-release-archive/2025/07-july/ai-poised-to-revolutionize-lyme-disease-testing-and-treatment, 28. julij 2025 op.prevod in povzetek sta strojno prevedena in sta informativne narave. CHICAGO — Danes bodo na dogodku ADLM 2025 (prej znanem kot Letno znanstveno srečanje AACC & Klinični laboratorijski sejem) raziskovalci predstavili krvni test, razvit s pomočjo umetne inteligence (UI), ki omogoča zgodnejše in natančnejše odkrivanje Lyme borelioze v primerjavi z …
Študija Lyme Biobank razkriva, da test CDC zgreši večino primerov zgodnje borelioze
https://www.lymedisease.org/lyme-biobank-study/ News, LymeDisease.org , 11. julij 2025 op.prevod in povzetek sta strojno prevedena in sta informativne narave. Povzetek: le 23 % testiranih, ki so kazali znake zgodnje borelioze je imelo pozitiven rezultat na testu, ki ga priporoča CDC (ameriški Center za nadzor bolezni), tj. dvotirni serološki test. Tudi med tistimi, ki so imeli značilne diagnostične …
Pandemija lajmske borelioze, ki jo je razkril koronavirus
Avtor: dr. Bruce Patterson, 07.september 2023 https://www.lymedisease.org/lyme-pandemic-coronavirus op.prevod in povzetek sta strojno prevedena in sta informativne narave. Povzetek: » S sodelavci smo razvili krvni test, ki meri 14 ključnih imunskih biomarkerjev in z umetno inteligenco (AI) primerja vzorce s specifičnimi podpisi za boreliozo in dolgi COVID. Ena od petih do ena od treh oseb, …
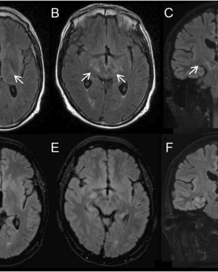
Napredno slikanje kaže, da je možganska megla, povezana z lajmsko boreliozo, resnična
Nancy Dougherty, Raziskovalni center za boreliozo, Johns Hopkins Medicine https://www.lymedisease.org/lyme-related-brain-fog-is-real/ V ZDA zboli vsako leto za lajmsko boreliozo približno 476.000 ljudi. Ocenjuje se, da od teh 10–20 % trpi za težjimi simptomi, ki presegajo akutno fazo okužbe. Vztrajni simptomi vključujejo hudo utrujenost, bolečino in kognitivne težave. Na žalost je te simptome težko potrditi s trenutnimi …
Kombinirane antibiotične terapije naj bi bile sposobne izkoreniniti lajmsko boreliozo
Vir: https://www.bayarealyme.org/blog/combination-antibiotic-therapies-may-be-capable-of-eradicating-lyme-disease-according-to-investigational-study-funded-by-bay-area-lyme-foundation/ Kombinirane antibiotične terapije naj bi bile sposobne izkoreniniti lajmsko boreliozo, kot kaže raziskava, financirana s strani Fundacije za lajmsko boreliozo v zalivskem območju v ZDA Bay Area Lyme Foundation. Študija potrjuje odkrite persistentne bakterije borelioze v vzorcih tkiv in kaže na potrebo po novih kliničnih študijah uporabe kombiniranih antibiotikov pri zdravljenju persistentne / …
CDC zdaj navaja lajmsko boreliozo kot okužbo, ki lahko povzroča kronične simptome
Dorothy Kupcha Leland, predsednica LymeDisease.org (Združenje pacientov z boreliozo ZDA, ca 18.000 članov) https://www.lymedisease.org/cdc-chronic-lyme-iaccpac/ Nova spletna stran CDC (Centers for Disease Control and Prevention) navaja Kronične simptome po okužbah. Nadaljuje s trditvijo: “Okužbe lahko včasih pustijo ljudi s simptomi, ki trajajo tedne, mesece ali celo dlje, tudi po ustrezni obravnavi.” (“Omenjam njihovo uporabo “ustrezno.” …
Ali se bo ponovila tožba zaradi borelioze proti IDSA / Ameriškemu združenju za nalezljive bolezni?
https://www.lymedisease.org/will-lyme-lawsuit-against-idsa-be-revived/ 11.09.2023, VIR: Courthouse News Service, prevod članka Pred dvema letoma je zvezno sodišče zavrglo tožbo Torrey proti IDSA (op. Infectious Diseases Society of America, Ameriško združenje za nalezljive bolezni), ki jo je vložila skupina bolnikov z boreliozo proti Ameriškemu združenju za nalezljive bolezni. Bolniki so vložili pritožbo glede zavrnitve tožbe sodišča, pretekli teden …
Vpliv lajmske borelioze na duševno zdravje: Razumevanje povezave in iskanje podpore
https://projectlyme.org/the-impact-of-lyme-disease-on-mental-health-understanding-the-connection-and-seeking-support/ S komaj opaznim klopom se začne potovanje, ki lahko drastično spremeni tok življenja. Borelioza je pomembna zdravstvena težava, ki ima posledice, ki segajo onstran njenih dobro znanih fizičnih manifestacij. Prav tako namreč pomembno vpliva na duševno zdravje. Vse bolj se priznava sposobnost bakterij borelije, da prebijejo krvno-možgansko pregrado, sprožijo vnetje in motijo redno delovanje …
Lajmska borelioza in živčni / nevrološki sistem
Lyme and the Nervous System Dr. Jaban Moore, 25.07.2023 Kaj je borelioza? Borelioza je zapletena in potencialno izčrpavajoča bolezen, ki jo prenašajo klopi, povzroča pa jo bakterija spiroheta Borrelia burgdorferi in v nekaterih primerih druge sorodne vrste borelije. Na človeka se prenaša predvsem z ugrizi okuženih črnonogih klopov (Ixodes scapularis in Ixodes pacificus), ki …









